Product Center

产品中心

HTB-80(人胰腺癌细胞)

货号:HY-A282

英文名称:HumaPancreatic Cancer Cells
规格:1x10^6cells/T25或1mL冻存管

一、基本信息

1. 产品编号:HY-A282

2. 细胞名称:HTB-80(人胰腺癌细胞)

3. 英文名称:Human Pancreatic Cancer Cells

4. 种属来源:人(Homo sapiens)

5. 组织来源:胰腺癌组织

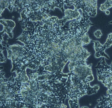
6. 细胞类型:上皮细胞样

7. 生长特性:贴壁生长

8. 细胞形态:多角形

9. 产品规格:1×10⁶ cells/T25培养瓶或1mL冻存管

10. 生物安全等级:BSL-1

11. 储存条件:液氮保存

12. 运输方式:T25培养瓶(常温免运费)或冻存管(干冰运输)

二、细胞特征

1. 分子表达特征:产生高水平的MUC-1 mRNA;表达较低水平的MUC-2 mRNA;不表达MUC-3基因;具有胰腺癌细胞特异性标志物。

2. 形态特征:典型多角形上皮细胞形态;贴壁生长特性;细胞排列紧密,形态规整。

三、培养条件

1. 基础培养基:McCOY's 5A

2. 添加成分:10%胎牛血清(FBS)

3. 培养环境:37℃,95%空气+5% CO₂

4. 传代比例:1:2-1:3

5. 换液频率:每周3次

6. 冻存条件:无血清冻存液,液氮储存

四、质量保证

1. 支原体检测:阴性

2. 细胞代数:10代以内

3. 细胞活性:复苏后活性>90%

4. STR鉴定:提供完整鉴定报告

五、培养操作指南

1. 收货处理:T25瓶:75%酒精消毒后,37℃培养箱静置2-4小时

                       冻存管:立即转入液氮或直接复苏

2. 传代方法:弃去培养上清,PBS润洗1-2次;加入1mL消化液(0.25%Trypsin-0.53mM EDTA);37℃消化1分钟,显微镜下观察;加入培养基终止消化,离心收集细胞;按1:2-1:3比例传代。

3. 冻存方法:细胞计数后调整密度至5×10⁵~1×10⁶/mL;使用无血清冻存液;程序降温:-80℃ 24小时后转入液氮。

六、主要应用

1. 胰腺癌研究:胰腺癌发病机制研究、肿瘤侵袭和转移机制分析、药物敏感性测试

2. 分子生物学研究:MUC基因表达调控研究、肿瘤标志物功能分析、信号通路研究

3. 药物筛选:抗胰腺癌药物筛选、靶向治疗药物评价、化疗药物敏感性测试

七、注意事项

1. 运输用培养基不可用于细胞培养

2. 首次传代建议1:2比例

3. 定期观察细胞形态,保持良好状态

4. 使用推荐培养条件,确保细胞生长一致性


请先填写以下信息
HTB-80(人胰腺癌细胞)
电话:13716641996 地址:西安市高新区沣惠南路20号华晶商务广场B座19层1907室
西安禾洋生物科技有限公司 陕ICP备2025067187号 网站建设:鼎诚网络

扫码关注我们