Product Center

产品中心

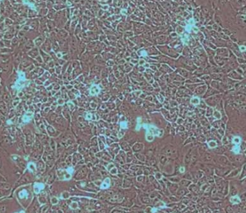
HPAC(人胰腺癌细胞)

货号:HY-A157

英文名称:Human Pancreatic Cancer Cells
规格:1x10^6cells/T25或1mL冻存管

一、基本信息

1. 产品编号:HY-A157

2. 细胞名称:HPAC(人胰腺腺泡上皮癌)

3. 英文名称:HPAC Human Pancreatic Ductal Adenocarcinoma Cells

4. 细胞别称:Hpac

5. 种属来源:人(Homo sapiens)

6. 组织来源:64岁女性胰腺组织

7. 细胞类型:上皮细胞样

8. 生长特性:贴壁生长

9. 产品规格:T25培养瓶

10. 生物安全等级:BSL-1

11. 保藏机构:ATCC CRL-2119

12. 储存条件:液氮保存

13. 运输方式:常温运输

二、细胞特征

1. 背景特征:来源于胰腺腺泡上皮癌组织,典型的上皮细胞样形态,具有明确的受体表达特征。

2. 生物学特性:在裸鼠体内可形成肿瘤,组织学特征与原始肿瘤相似;在塑料培养皿中集落形成效率为64%;在琼脂糖中集落形成效率为3.2%;表皮生长因子受体(EGF)表达;糖皮质激素受体表达;角蛋白(keratin)阳性;波形蛋白(vimentin)阴性;嗜铬粒蛋白A(chromogranin A)阴性;倍增时间:23-44小时。

三、培养条件

1. 基础培养基:DMEM/F12

2. 添加成分:5% 胎牛血清(FBS)、1% 青霉素-链霉素(P/S)、0.5% ITS-G(100×)、40 ng/mL 氢化可的松、10 ng/mL 表皮生长因子(EGF)

3. 培养环境:37℃,95%空气 + 5% CO₂

4. 传代比例:1:3-1:6

5. 换液频率:每周2-3次

6. 消化时间:3-5分钟

7. 冻存条件:无血清非程序冻存液或通用血清型程序冻存液,液氮储存

四、培养操作指南

1. 细胞传代:吸出原培养液,加入2 mL PBS润洗细胞,吸出PBS丢弃,加入1 mL 0.25%胰蛋白酶-EDTA溶液,均匀浸润细胞,37℃培养箱消化3-5分钟,显微镜下观察细胞变圆、出现间隙时终止消化,加入3 mL含血清培养基终止消化,轻轻吹打细胞使之脱壁,形成单细胞悬液,收集细胞悬液离心(1200 rpm,3分钟),弃上清,加入新鲜培养基重悬,按比例接种到新培养瓶。

五、质量保证

1. 细胞鉴定:提供STR鉴定报告

2. 支原体检测:阴性

3. 细胞活性:复苏后活性>90%

4. 代次保证:10代以内

六、主要应用

1. 胰腺癌研究:胰腺腺泡上皮癌机制研究、肿瘤生物学特性分析、药物敏感性测试

2. 分子生物学研究:EGF受体信号通路研究、糖皮质激素受体功能分析、胰腺癌标志物研究

3. 药物研发:抗胰腺癌药物筛选、靶向治疗药物评价、临床前药效学研究

七、注意事项

1. 收到细胞后及时检查并拍照记录

2. 消化过程中避免拍打培养瓶

3. 严格按照配方添加生长因子和激素

4. 定期观察细胞形态,保持良好状态

5. 仅限于科学研究使用,不可用于临床


请先填写以下信息
HPAC(人胰腺癌细胞)
电话:13716641996 地址:西安市高新区沣惠南路20号华晶商务广场B座19层1907室
西安禾洋生物科技有限公司 陕ICP备2025067187号 网站建设:鼎诚网络

扫码关注我们